歯科ドック

    歯科ドックとは

    弁天町駅徒歩1分の歯医者、弁天町やまうち歯科の歯科ドック

    歯科ドックは、お口の状態を総合的に詳しく調べる精密検査です。
    むし歯や歯周病だけでなく、かみ合わせや詰め物の適合状態、顎関節、将来的なリスクまで可視化します。

    自覚症状がない段階で問題を早期発見できるため、大きな治療を防ぎ、結果的に治療期間や費用の負担軽減にもつながります。
    検査結果をもとに、一人ひとりに合わせた最適な予防・治療計画をご提案し、長く健康なお口を守ります。

    ※保険診療には様々な制限があるため、「歯科ドック」を行うことはできません。
    ※「歯科ドック」は自費検査として行います。

    歯科ドック金額

    歯科ドック

    20,000円(税込22,000円)

    クオンペリオ(単体)

    12,000円(税込13,100円)

     

    2万円 + 税

     

    歯科ドック検査項目

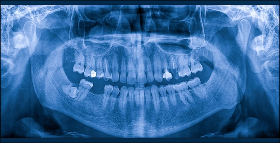
    パノラマエックス線撮影

    弁天町駅徒歩1分の歯医者、弁天町やまうち歯科の歯科ドック

    パノラマエックス線写真は、上下の歯や顎の骨、顎関節までを一枚で確認できるレントゲン検査です。
    むし歯や歯周病の進行状況、親知らずの位置、顎の骨の状態などを総合的に把握でき、目に見えないトラブルの早期発見に役立ちます。
    初診時や定期的な検査で撮影することで、お口全体を見据えた適切な治療計画を立てることができます。

     

    CT検査

    弁天町駅徒歩1分の歯医者、弁天町やまうち歯科の歯科ドック

    歯科用CTは、顎の骨や歯の状態を立体的(3D)に詳しく確認できる精密検査です。
    通常のレントゲンでは分かりにくい骨の厚みや神経の位置、根の形態などを正確に把握できます。
    インプラント治療や親知らずの抜歯、根の治療など、安全性と精度が求められる処置の診断に役立ちます。
    より的確な治療計画を立てるために行う検査です。

     

    デジタルスキャン検査

    弁天町駅徒歩1分の歯医者、弁天町やまうち歯科の歯科ドック

    デジタルスキャンは、小型カメラでお口の中を撮影し、歯型を立体的(3D)に記録する検査です。
    従来の型取り材を使用せず、短時間で精密なデータを取得できます。
    詰め物・被せ物・矯正治療などの診断や設計に活用し、より精度の高い治療につなげます。

     

    歯周精密検査

    弁天町駅徒歩1分の歯医者、弁天町やまうち歯科の歯科ドック

    歯周精密検査は、歯ぐきや歯を支える骨の状態を詳しく調べる検査です。
    専用の器具で歯周ポケットの深さを測定し、出血の有無や歯の動き、汚れのつき具合などを確認します。
    歯周病は自覚症状が少ないまま進行することがあるため、正確な検査によって現在の状態を把握することが重要です。
    検査結果をもとに、一人ひとりに合わせた治療計画やメンテナンス方法をご提案します。

     

    クオンペリオテスト(口腔内細菌検査)

    弁天町駅徒歩1分の歯医者、弁天町やまうち歯科の歯科ドック

    クオンペリオは、むし歯や歯周病の原因菌の状態を調べる口腔内細菌検査です。
    歯垢を採取し、どのような細菌がどの程度存在しているかを分析することで、口腔内のリスクを客観的に把握します。
    むし歯や歯周病は、単に磨き残しがあるだけでなく、細菌の種類や量が大きく関係しています。
    クオンペリオによって細菌の状態を数値やデータで確認することで、症状が出る前の段階から適切な予防や治療方針を立てることが可能になります。
    また、検査結果をもとに一人ひとりに合わせたセルフケアやメンテナンス方法を提案できるため、より効果的な予防管理につながります。
    治療中心ではなく、原因にアプローチするための検査として重要な役割を担っています。

     

    CAT21テスト

    弁天町駅徒歩1分の歯医者、弁天町やまうち歯科の歯科ドック

    CAT21テストは、唾液を用いてむし歯のなりやすさ(リスク)を調べる検査です。
    むし歯の原因菌の量や唾液の性質を分析し、お口の環境を客観的に評価します。

     

    むし歯チェック

    弁天町駅徒歩1分の歯医者、弁天町やまうち歯科の歯科ドック

    現在むし歯があるかどうかの確認を行います。
    むし歯は初期の段階では自覚症状がほとんどなく、痛みを感じた時にはすでに進行していることも少なくありません。
    早期発見、早期治療を行うためにしっかりチェックします。

     

    クリーニング(エアフロー)

    弁天町駅徒歩1分の歯医者、弁天町やまうち歯科の歯科ドック

    歯に付着した歯石や着色、バイオフィルムを専門的に除去します。
    お口の状態に合わせて専用の器具を使用し、歯や歯ぐきに配慮しながら丁寧に行います。
    また微細なパウダーと水・空気を噴射して、歯の表面や歯周ポケット内のバイオフィルム・着色をやさしく除去するエアフローという機械も使用します。

     

PAGE TOP